What is Groupon Teeth Whitening?
Groupon teeth whitening in Los Angeles offers a cost-effective way to enhance your smile. Groupon is a popular platform that connects consumers with local businesses, offering discounted deals on various services, including cosmetic dentistry procedures like teeth whitening. These deals often provide significant savings compared to regular prices, making teeth whitening accessible to a wider audience. However, it’s essential to understand what these deals entail and whether they align with your dental health needs and expectations. Groupon acts as an intermediary, allowing you to purchase vouchers for services at participating dental clinics in the Los Angeles area, creating opportunity to find great deals that can boost confidence.
How Groupon Teeth Whitening Works
The process of using Groupon for teeth whitening is straightforward. First, you browse the Groupon website or app and search for teeth whitening deals in Los Angeles. When you find an appealing offer, you purchase a voucher. This voucher typically includes details such as the service offered (e.g., in-office whitening, take-home kits), the clinic’s name, and the expiry date of the voucher. Once you’ve purchased the voucher, you’ll need to contact the dental clinic to schedule an appointment. During the appointment, the dental professional will assess your teeth and proceed with the whitening treatment based on the Groupon deal’s specifications. Be sure to read the fine print to know exactly what’s included and any exclusions that may apply. This method allows patients to access professional teeth whitening services at a reduced price, which is a huge benefit.
Finding Groupon Deals in Los Angeles

Finding Groupon teeth whitening deals in Los Angeles requires some strategic searching. Start by visiting the Groupon website or using the Groupon app. In the search bar, type ’teeth whitening’ and specify your location as ‘Los Angeles.’ You can filter your search by various criteria, such as the distance from your location, the price range, and the rating of the dental clinics. Regularly check the website and app, as deals are frequently updated. Consider signing up for Groupon’s email alerts to receive notifications about new deals in your area. Also, be flexible with your schedule, as some deals may have limited availability. It’s also a good idea to compare different deals, focusing on the clinic’s reputation and the type of whitening offered to ensure the best value and results for your teeth whitening needs in Los Angeles.
Top 5 Groupon Teeth Whitening Deals in Los Angeles
Identifying the best Groupon teeth whitening deals requires a careful evaluation of various factors. The following are fictional deals for illustrative purposes only and are not real offers. They are meant to give a feel for how to evaluate the different offers you may find in the Los Angeles area. Always ensure any real deal you find is a fit for your specific needs. Evaluate the cost per session, the type of whitening offered (e.g., in-office, take-home), and the clinic’s reputation. Consider the reviews and ratings from previous customers to get an idea of the quality of service. Additionally, check for any special offers, such as consultations, or post-whitening care included in the deal. Always compare deals based on these elements to find the most suitable and valuable offer for teeth whitening. Here’s a look at how to evaluate a theoretical top 5 deals.
Deal 1 Overview
This deal might offer an in-office teeth whitening session with a reputable dental clinic in Beverly Hills. The deal could include a consultation, professional teeth cleaning, and the whitening treatment. This is a great option if you are looking for immediate results and the convenience of professional service. Always check the clinic’s credentials and read reviews before purchasing.
Deal 1 Pros and Cons

The pros of Deal 1 include the expertise of a dental professional, immediate results, and a comprehensive approach that might include teeth cleaning. Cons could include a higher price compared to take-home kits, potential sensitivity after the treatment, and the time commitment of an in-office visit. This may or may not be the best fit for every customer, but having options available will surely help you make the right choice. Always factor in convenience, price, and your specific dental needs.
Deal 2 Overview
Deal 2 could offer a take-home teeth whitening kit from a dental clinic in Downtown Los Angeles. This may include custom-fitted trays, whitening gel, and instructions for use at home. This is a more flexible option that allows you to whiten your teeth at your own pace. Be sure to consult with your dentist before starting to ensure it is safe and effective for your situation.
Deal 2 Pros and Cons
The pros of Deal 2 are its convenience and affordability. It allows you to whiten your teeth in the comfort of your home at a lower price. Cons may include the need for consistent use over several weeks to achieve desired results and the potential for some users to have inconsistent results. Always make sure to read the instructions carefully and follow them to the letter.
Deal 3 Overview

Deal 3 might be a combination package, offering both an in-office whitening session and a take-home kit for touch-ups. This is a comprehensive approach, providing immediate results with ongoing maintenance. Consider the clinic’s reputation and the included aftercare instructions to ensure you are making a safe, informed decision. This can be the best of both worlds.
Deal 3 Pros and Cons
The pros include immediate and long-term whitening, with professional supervision. Cons could be a higher overall cost, and the time commitment of multiple appointments. Weigh the benefits against the costs and your personal preferences to make the best choice for you. This is a great way to have ongoing access to professional teeth whitening.
Deal 4 Overview
Deal 4 could highlight a teeth whitening treatment specifically designed for sensitive teeth from a clinic in the San Fernando Valley. This is a great choice for people who have sensitive teeth, which is a very common condition. The deal could offer a gentler whitening process and desensitizing treatments. Review the clinic’s expertise in treating sensitive teeth, and read reviews.
Deal 4 Pros and Cons

The pros include a reduced risk of sensitivity and a comfortable whitening experience. Cons might include potentially slower results compared to other treatments and limited availability of clinics with this service. Read the fine print about the product used.
Deal 5 Overview
Deal 5 might be a deal that focuses on a specific whitening technology, such as laser teeth whitening, at a clinic in Santa Monica. Laser whitening can offer faster and more dramatic results. Understand the technology, and consult with the clinic about potential risks or side effects. Consider the clinic’s experience with this technology.
Deal 5 Pros and Cons
The pros include fast, effective whitening, and a potentially long-lasting result. Cons might include a higher cost, and the need for aftercare. Discuss the potential risks and benefits with the dentist before committing to treatment.
Factors to Consider Before Buying

Before purchasing a Groupon teeth whitening deal, several factors require careful consideration. Assess the dental clinic’s reputation by reading reviews and checking online ratings. Ensure the clinic uses professional-grade products and techniques. Determine the type of whitening treatment offered and whether it meets your expectations and needs. Consider any potential risks, such as tooth sensitivity, and consult with a dentist to ensure the treatment is suitable for your oral health. Carefully read the fine print, paying attention to any exclusions or additional fees. Compare the deal’s total cost with the regular price and other available options. The ultimate goal is to make an informed decision that prioritizes both value and the health of your smile.
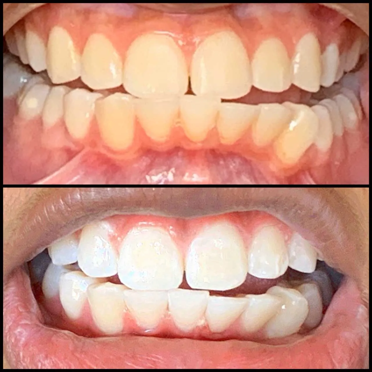
Types of Teeth Whitening Available
Several types of teeth whitening treatments are available through Groupon deals in Los Angeles. In-office whitening involves a dental professional applying a high-concentration whitening agent to your teeth, often activated by a special light or laser. This method provides immediate results. Take-home kits, on the other hand, offer more flexibility. These kits usually include custom-fitted trays and a lower-concentration whitening gel that you use at home. Over-the-counter whitening products, while also available, may not be as effective. Consider the type of whitening, as this can impact your results. Choosing the right whitening treatment depends on your desired results, budget, and time commitment. Consulting your dentist is essential for determining the most suitable type for your specific oral health and cosmetic goals.
Customer Reviews and Ratings
Customer reviews and ratings are invaluable resources when evaluating Groupon teeth whitening deals. Check the reviews on Groupon itself, as well as on other platforms, such as Google Reviews and Yelp. Look for consistent feedback regarding the clinic’s professionalism, the effectiveness of the whitening treatment, and the overall customer experience. Pay attention to any recurring themes, either positive or negative, in the reviews. Consider the reviewer’s experience with the whitening results, any discomfort experienced, and the clinic’s customer service. Do these reviews make you more confident in the deal? High ratings and positive reviews indicate a reputable clinic, while negative reviews might suggest caution. Thoroughly researching customer experiences helps to make an informed decision and choose a reliable provider.
Reading the Fine Print

Reading the fine print of Groupon teeth whitening deals is crucial before making a purchase. Carefully review what the deal includes, such as the number of whitening sessions, the type of treatment offered, and any additional services. Check for any exclusions, such as the need for a dental exam or teeth cleaning, which might not be included in the deal. Pay attention to the expiration date of the voucher and the clinic’s cancellation policy. Make sure you understand any restrictions or limitations. By reading the fine print, you avoid surprises and ensure that the deal aligns with your expectations and needs. This practice helps to manage potential conflicts and provides a clear understanding of your rights and responsibilities as a consumer.
Aftercare Tips for Teeth Whitening
Following aftercare tips after teeth whitening is essential to maintain your bright smile. Avoid staining foods and drinks, such as coffee, tea, red wine, and dark-colored berries, for at least a week or two. Use a whitening toothpaste to help maintain the results, but consult your dentist on the best product for you. Consider using a straw when consuming beverages that can stain your teeth. Practice good oral hygiene, including brushing twice a day and flossing daily. Schedule regular dental check-ups and cleanings to prevent future staining and maintain your oral health. By following these tips, you can extend the longevity of your whitening results and keep your smile radiant for as long as possible.
Maintaining Your White Smile
Maintaining your white smile after teeth whitening requires ongoing care and attention. Continue to avoid or limit your consumption of staining foods and drinks. Implement a consistent oral hygiene routine, including brushing, flossing, and using an appropriate toothpaste. Consider using a take-home whitening kit for touch-ups as needed. Avoid smoking and tobacco products, as they can severely stain your teeth. Schedule regular dental check-ups and cleanings to remove surface stains and monitor your oral health. Consider talking to your dentist about the best way to maintain your new, beautiful, white smile. By following these steps, you can ensure your teeth remain bright and your smile confident long after your teeth whitening treatment.
Conclusion
Groupon teeth whitening deals in Los Angeles provide a convenient and often affordable way to enhance your smile. When considering a deal, thoroughly research the clinic, understand the treatment, and read customer reviews. Always read the fine print. By following these guidelines, you can make an informed decision. Prioritize your oral health and choose deals that offer the best value and results for your needs. With careful planning and attention to detail, you can achieve a brighter, more confident smile with the help of Groupon deals in Los Angeles. Remember that consistent oral hygiene and aftercare are essential to maintain your results. Enjoy your dazzling new smile!
